Gerhard-Seifert-Referenzzentrum im
Hansepathnet
Böcker • Herbst
Jäkel • Löning

Speicheldrüsenpathologie
Speichelgangkarzinom
Speichelgangkarzinom
Wie die aktuelle WHO-Klassifikation der Kopf-Hals-Tumore eindrucksvoll belegt, gibt es kaum andere Tumorerkrankungen, die bei allgemein niedriger Inzidenz speziell der malignen Neoplasien so viele unterschiedliche Typen umfassen wie Tumore der Speicheldrüsen. Der histo- und zytomorphologischen Komplexität und den daraus resultierenden diagnostischen Herausforderungen sollte schon 1965 durch Gründung des Hamburger Speicheldrüsenregisters durch Gerhard Seifert und Karl Donath begegnet werden. In dieser ersten Phase einer modernen Speicheldrüsenpathologie gelang es bereits besondere Phänotypen der Speicheldrüsentumore zu definieren und damit die Tür für Phänotyp-Genotyp-Korrelationen zu öffnen (Seifert 1996).
Tabelle 1 gibt eine Übersicht über einige der Kandidaten- und Fusionsgene, welche das Potential haben, die Diagnostik und die Verlaufsbeurteilung bei Speicheldrüsentumore zu verbessern.

Tabelle 1. Speicheldrüsentumore mit klinikrelevanten Kandidaten- und Fusionsgenen.
Tumorentität Translokation /
aberrante Region
Fusions- /
Kandidatengene
Pleomorphes Adenom t(3;12)(p14;q14-15)
t(9;12)(p24;q14-15)
t(5;8)(p13;q12)
t(3;8)(p21;q12)
FHIT-HMGA2
NF1B-HMGA2
LIFR-PLAG1
CTNNB1-PLAG1
Karzinom im pleomorphen Adenom t(11;19)(q21;p13)
t(10;12)(p15;q14-15)
t(3;8)(p21;q12)
CRTC1-MAML2
HMGA2, MDM2
PLAG1
Mukoepidermoidkarzinom t(11;19)(q21;p13) CRTC1-MAML2
HMGA2
Adenoidzystisches Karzinom t (6; 9)(q22-23; p23-24) MYB-NFIB
Sekretorisches Karzinom t(12; 15)(t13; q25) ETV6-NTRK3
Polymorphes low grade Ca 14q12 Mut. PRKD1
Klarzelliges myoepith. Ca t(12,22(q13,q12) EWSR1
Azinuszellkarzinom 4p, 5q, 6p und 17p ?


Die oben eingefügte Tabelle führt einige Speicheldrüsenkarzinome mit tumortypischen genetischen Aberrationen auf. Solche Neoplasien sind oft zugleich Produktionsstätten von tumortypischen (Fusions-) Proteinen, die potentielle Zielmoleküle für eine „maßgeschneiderte“ systemische Behandlung sind. An der Einführung solcher Behandlungsmodalitäten wird weltweit gearbeitet (siehe EORTC-Studie 1206). Insofern ist es auch jetzt schon wichtig, Patientenkohorten mit diesen besonderen molekularen Merkmalen zu erstellen. In Ergänzung zu der Tabelle werden nachstehend Charakteristika der in diesem Kontext am meisten interessierenden Karzinomerkrankungen erläutert.

1. Charakteristisch für ca. 70% der Mukoepidermoidkarzinomen ist die Translokation t(11;19)(q21;p13) und das damit assoziierte Fusionsgen CRTC1-MAML2.
Bei den verbleibenden ca. 30% ohne Translokation t(11;19)(q21;p13) scheint eine andere Form der Tumorentstehung vorzuliegen, unsere Studien deuten daraufhin hin, daß hier eine stark erhöhte HMGA2 Expression vorliegt.
Zu unterscheiden sind also zwei Varianten mit unterschiedlichem Genotyp:

  1. Eine zahlenmäßig größere Tumorgruppe mit Translokation t(11;19)(q21;p13) und dem damit assoziierten Fusionsgen CRTC1-MAML2, welche zumeist eine hohe Differenzierung (low grade), wenig aggressive Tumorbiologie und entsprechend günstige Prognose aufweisen. Diese Gruppe repräsentiert die eigentlichen Mukoepidermoidkarzinome.
  2. Eine zahlenmäßig kleinere Gruppe ohne Translokation t(11;19)(q21;p13) und Fusionsgen CRTC1-MAML2, mit niedrigerer Differenzierung (high grade) und aggressiverer Tumorbiologie und entsprechend schlechter Prognose. Diese Gruppe ist eher den adenosquamösen Karzinomen des HNO-Bereiches zuzurechnen.

2. Ein weiterer Tumortyp mit tumortypischer Translokation ist das adenoid-zystische Karzinom (t(6;9)(q22-23;p23-24). Bei diesem Tumor ist fast immer, speziell aber als Folge der o.g. Translokation das MYB-Onkogen hochreguliert. Das adenoid-zystische Karzinom ist ein Speicheldrüsenkrebs mit hoher Rezidivrate und Mortalität, insofern ist die Diagnose von großer Tragweite. In allen Zweifelsfällen sollten daher genotypische Marker eingesetzt werden, speziell in der differentialdiagnostischen Abgrenzung von Speicheldrüsenkarzinomen mit wesentlich geringerem Progressionsrisiko (i.e. Basalzelladenokarzinom, polymorphes low grade Adenokarzinom).

3. Eine große Gruppe der malignen Speicheldrüsenneoplasien stellen die Azinuszellkarzinome dar. Dabei handelt es sich im allgemeinen um low grade Karzinome mit geringem Progressionsrisiko. Die molekularen Hintergründe von Azinuszellkarzinomen sind bislang nur unzureichend aufgeklärt, vor allem die Chromosomenarme 4p, 5q, 6p und 17p scheinen aber eine gehäufte Anzahl an Aberrationen aufzuweisen. In den letzten Jahren wurde aber auch deutlich, dass ein Teil dieser Karzinome (10-20%) fehlinterpretiert wurde. Es stellte sich heraus, dass es sich dabei um Karzinome intermediären Malignitätsgrades handelt, die nach ihrem Geno- und Phänotyp mit lange bekannten Karzinomen der Brustdrüse, den sog. sekretorischen Karzinomen („juvenile“ Karzinome älterer Terminologie) identisch sind. Sie werden daher auch als brustdrüsenanaloge sekretorische Karzinome bezeichnet. Typisch für diese Tumorgruppe ist das ETV6-NTRK3-Fusionsgen (siehe Tabelle).

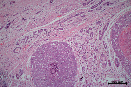
4. Zu den schon länger bekannten brustdrüsenanalogen Karzinomen gehört schließlich das Speichelgangkarzinom. Den Klinikern ist diese Tumorgruppe als die mit dem höchsten Progressionsrisiko unter den malignen Speicheldrüsentumorerkrankungen bekannt. Weniger bekannt ist, dass unter diesen Neoplasien (ähnlich wie bei Mammakarzinomen) Steroidrezeptor-Expressionen (speziell Androgenrezeptorexpressionen) und Her2-Amplifikationen vorkommen. Erstere treten in bis zu 80% dieser Tumorgruppe, letzere in bis zu 20% auf. Damit eignen sich Patienten mit Speichelgangkarzinomen auch besonders für zielgerichtete („maßgeschneiderte“), dabei nebenwirkungsarme systemische Behandlungsmodalitäten. Ein erstes Signal für ein solches multimodales Therapiekonzept geht von der 2014 aufgelegten EORTC-Studie 1206 aus.

5. Die vielversprechendsten molekularen Marker im Karzinom des pleomorphen Adenoms sind die Onkogene HMGA2 und MDM2, welche im Bereich 12q13-15 lokalisiert sind. Dieser Bereich ist zusammen mit 8q12 die am häufigsten von Chromosomenveränderungen betroffene Region der Karzinome im pleomorphen Adenom. Beide Gene könnten eine Rolle bei der malignen Transformation von benignen pleomorphen Adenomen spielen, da für beide Gene eine hohe Zahl von Amplifikationen bzw. Rearrangierungen beschrieben sind. Des Weiteren sind beide Gene wiederholt im Zusammenhang mit malignen Tumoren beschrieben worden, und Aberrationen an diesen Genen deuten häufig auf ein aggressives Wachstum hin.

Speichelgangkarzinom
Speichelgangkarzinom
Spezielle Literatur – Internationales Konsortium - Speicheldrüsenneoplasien
Brill LB, Kanner WA, Fehr A et al. Analysis of MYB expression and MYB-NFIB gene fusions in adenoid cystic carcinoma and other salivary neoplasms. Mod Pathol 2011;24(9):1169-1176.
Dahl A, Teegen J, Altevogt P, Löning T, Schumacher U. Glycoconjugate expression in adenoid cystic carcinoma of the salivary glands: up-regulation of L1 predicts fatal prognosis. Histopathology 2011;59(2):299-307.
Eichhorn W, Precht C, Wehrmann M et al. First description of a hybrid tumor of the sublingual gland. Anticancer Res 2013;33(10):4567-4571.
Fehr A, Röser K, Belge G, Löning T, Bullerdiek J. A closer look at Warthin tumors and the t(11;19). Cancer Genet Cytogenet 2008;180(2):135-139.
Fehr A, Röser K, Heidorn K, Hallas C, Löning T, Bullerdiek J. A new type of MAML2 fusion in mucoepidermoid carcinoma. Genes Chromosomes Cancer 2008;47(3):203-206.
Fehr A, Stenman G, Bullerdiek J, Löning T. [Molecular markers in salivary gland tumors: their use in diagnostic and prognostic workup]. Pathologe 2009;30(6):466-471.
Fehr A, Stenman G, Bullerdiek J, Löning T. [Molecular markers in salivary gland tumors: their use in diagnostic and prognostic workup]. Pathologe 2009;30(6):466-471.
Fehr A, Meyer A, Heidorn K, Röser K, Löning T, Bullerdiek J. A link between the expression of the stem cell marker HMGA2, grading, and the fusion CRTC1-MAML2 in mucoepidermoid carcinoma. Genes Chromosomes Cancer 2009;48(9):777-785.
Friedrich RE, Dilcher J, Jähne M, Löning T. Chromosomal rearrangements in PLAG1 of myoepithelial salivary gland tumours. Anticancer Res 2012;32(5):1977-1981.
Hungermann D, Röser K, Bürger H, Jäkel T, Löning T, Herbst H. Relative paucity of gross genetic alterations in myoepitheliomas and myoepithelial carcinomas of salivary glands. J Pathol 2002;198(4):487-494.
Hungermann D, Röser K, Bürger H, Jäkel T, Löning T, Herbst H. [Salivary duct carcinoma]. Pathologe 2005;26(5):353-358.
Hungermann D, Röser K, Bürger H, Jäkel T, Löning T, Herbst H. [Myoepithelial tumors of salivary glands]. Pathologe 2005;26(5):339-344.
Hungermann D, Korsching E, Bürger H, Röser K, Löning T, Herbst H. [Salivary duct carcinomas comprise phenotypically and genotypically diverse high grade neoplasms]. Verh Dtsch Ges Pathol 2006;90:168-176.
Hungermann D, Korsching E, Bürger H, Röser K, Löning T, Herbst H. Salivary duct carcinomas comprise phenotypically and genotypically diverse high-grade neoplasms. Histopathology 2007;50(7):956-958.
Jähne M, Jäkel KT, Röser K, Ussmüller J, Löning T. [About the prognostic value of Her-2 gene-amplification and cell-proliferation in salivary duct carcinoma of the major salivary glands - a pilot-study]. Laryngorhinootologie 2001;80(9):525-529.
Jähne M, Röser K, Jäkel T, Schepers JD, Albert N, Löning T. Clinical and immunohistologic typing of salivary duct carcinoma: a report of 50 cases. Cancer 2005;103(12):2526-2533.
Jäkel KT, Löning T. [Differential diagnosis of basaloid salivary gland tumors]. Pathologe 2004;25(1):46-55.
Löning T, Jäkel KT. [Salivary gland tumors--tumor typing and grading]. Pathologe 2004;25(1):38-45.
Persson F, Fehr A, Sundelin K, Schulte B, Löning T, Stenman G. Studies of genomic imbalances and the MYB-NFIB gene fusion in polymorphous low-grade adenocarcinoma of the head and neck. Int J Oncol 2012;40(1):80-84.
Röser K, Löning T. [Phenotype-genotype correlations in salivary gland tumors. Status of molecular analysis]. Laryngorhinootologie 2001;80(11):639-641.
Röser K, Jäkel KT, Herbst H, Löning T. [Immunohistochemical characterization of salivary gland tumors with tissue micro-arrays]. Pathologe 2005;26(5):345-352.
Röser K, Jäkel KT, Bullerdiek J, Löning T. [Significance of molecular-cytogenetic findings in mucoepidermoid carcinoma as an example of salivary gland tumors]. Pathologe 2005;26(5):359-366.
Vekony H, Röser K, Löning T et al. Deregulated expression of p16INK4a and p53 pathway members in benign and malignant myoepithelial tumours of the salivary glands. Histopathology 2008;53(6):658-666.
Vekony H, Röser K, Löning T et al. Copy number gain at 8q12.1-q22.1 is associated with a malignant tumor phenotype in salivary gland myoepitheliomas. Genes Chromosomes Cancer 2009;48(2):202-212.