Gerhard-Seifert-Referenzzentrum im
Hansepathnet
Böcker • Herbst
Jäkel • Löning

Aktueller Fall
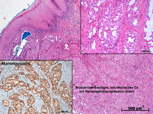
Bild zu Fall 1
36 J. alter Mann mit einem etwa 2 cm durchmessenden, invasiv wachsenden Unterlippentumor rechts (Vor-Op. vor ca. 8 J.) mit duktalem und dabei teils hellzelligem Phänotyp, ferner mit sekretorischer Aktivität in PAS- und ACB-Färbungen sowie mit Koexpressionen von CK7, Mammaglobin und S100 bei Restriktionen der Expression basaler Zytokeratine und myoepithelialer Marker.
Diagnose: Brustdrüsenanaloges sekretorisches Karzinom
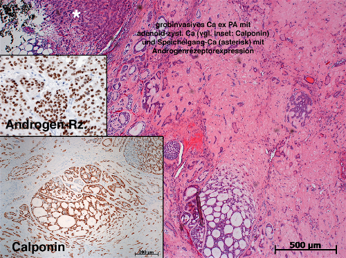
Bild zu Fall 2
71 J. alter Mann mit einem 1.8 cm durchmessenden, grobinvasiv wachsenden Tumor der rechten G. parotis mit Resten eines pleomorphen Adenoms und „aufgepfropft“ sowohl Manifestationen eines adenoid-zystischen Karzinoms (kribriformer Subtyp, typische myoepitheliale Differenzierungen) als auch eines Speichelgangkarzinoms mit DCIS-artigen Formationen, prädominant luminalem Phänotyp sowie Androgenrezeptorexpressionen.
Diagnose: Grobinvasives (biphänotypisches) Karzinom ex PA